广州博鹭腾生物科技有限公司

6

手机商铺

qrcode
商家活跃:
产品热度:
  • NaN
  • 0.6000000000000001
  • 1.6
  • 0.6000000000000001
  • 3.6

广州博鹭腾生物科技有限公司

入驻年限:6

  • 联系人:

    魏生

  • 所在地区:

    广东 广州市 黄埔区

  • 业务范围:

    耗材、书籍 / 软件、实验室仪器 / 设备、试剂

  • 经营模式:

    生产厂商

在线沟通

公司新闻/正文

文献速递|动物活体成像系统在载药纳米超声造影剂研制中的应用

421 人阅读发布时间:2022-01-19 09:33

近日,中山大学附属第七医院肾泌尿外科中心庞俊教授团队在载药纳米超声造影剂研究中取得成果,在国际知名期刊《ACS Applied Materials & Interfaces》(IF=9.229,JCR1区)上发表研究性论文。

文献速递|动物活体成像系统在载药纳米超声造影剂研制中的应用
图1|国际知名期刊《ACS Applied Materials & Interfaces》(IF=9.229,JCR1区)


超声(US)由于其安全性、非放射性、实时监测和低成本而被广泛用于临床诊断成像。然而,传统的超声造影剂(UCAs)只能用于血池成像,且由于尺寸相对较大,无法实现肿瘤区域的血管外成像。此外,仅应用常规UCAs也不能达到预期的治疗目的。

基于纳米粒子(NPs)的UCAs因其无创性、精确靶向、可见性和装载小分子的便利性而受到越来越多的关注。产生气体的NPs具有很高的回声敏感性,二硫键可以用于还原响应性NPs药物递送系统制备。目前,已报道的同时具有超声成像和治疗功能的医用NPs大多仅基于pH响应性药物释放,并且药物释放速率不完全。

基于上述考虑,庞俊教授团队制备了包裹二硫聚合物、碳酸氢钠(NaHCO3)水溶液和化疗药物盐酸阿霉素盐(DOX·HCl)的NPs(DOX@HADT-SS-NaHCO3NPs)。NaHCO3在酸性条件下能产生CO2,提供回声信息;更重要的是,双重pH/GSH响应性药物释放可以进行癌症治疗,最终实现前列腺癌US成像和治疗的一体化。

文献速递|动物活体成像系统在载药纳米超声造影剂研制中的应用
图2|制造聚合物步骤和通过产生回声CO2气泡放大超声对比度并发挥按需治疗作用的NPs示意图

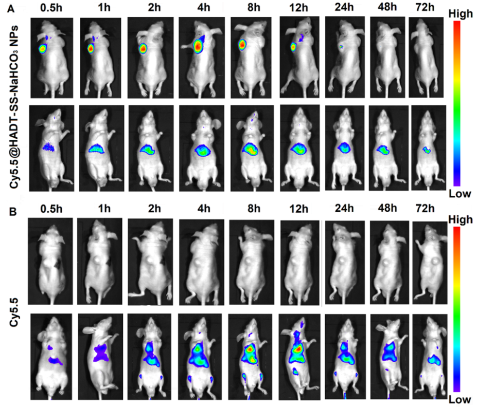
文章中,标记Cy5.5的HADT-SS-NaHCO3NPs在C4-2荷瘤裸鼠体内的生物分布活体实验成像,使用了博鹭腾AniView100多模式动物活体成像系统拍摄。

文献速递|动物活体成像系统在载药纳米超声造影剂研制中的应用
当C4-2荷瘤裸鼠的肿瘤体积达到100mm3时,静脉给药注射游离Cy5.5和Cy5.5@HADT-SS-NaHCO3NPs溶液。活体结果显示用Cy5.5@HADT-SS-NaHCO3NPs处理的小鼠肿瘤中的荧光信号从0.5到4小时逐渐增加,并在4小时达到峰值,然后随着时间的推移逐渐减弱。相比之下,整个时期肿瘤部位未观察到明显的游离Cy5.5荧光信号,游离Cy5.5荧光信号主要出现在肝脏。定量荧光信号也证实了Cy5.5@HADT-SS-NaHCO3NPs在肿瘤和肝脏中分布的趋势,揭示了HADT-SSNaHCO3NPs通过EPR效应在肿瘤组织中的特异性积累。

文献速递|动物活体成像系统在载药纳米超声造影剂研制中的应用
文献速递|动物活体成像系统在载药纳米超声造影剂研制中的应用
图3|负载Cy5.5的HADT-SS-NaHCO3NPs(A)和具有等效Cy5.5浓度(0.2 mg/kg)的游离Cy5.5溶液(B)在C4-2荷瘤小鼠中的体内生物分布。静脉注射后0.5、1、2、4、8、12、24、48和72小时,用AniView100获得的小鼠背部和前部的体内荧光图像,一列代表同一只裸鼠的正面和背面。(C)和(D)为肿瘤组织和肝脏荧光强度的定量分析

US造影剂已广泛应用于肿瘤的诊断和鉴别诊断。商业US由于体积大,成像时间短,应用受到限制;同时,仅应用常规的US造影剂并不能达到预期的治疗目的。庞俊教授团队设计的HADT-SS-NaHCO3NPs在酸性pH条件下表现出明显增强的超声对比度和抗肿瘤效果,为前列腺癌的有效超声成像诊断和治疗提供了一种有效的潜在药物。

文献链接:https://pubs.acs.org/doi/10.1021/acsami.1c00077

上一篇

【新品亮相】第一届华南动物活体成像应用研讨会暨小动物活体三维成像系统发布会

下一篇

文献速递ㅣAniView 100多模式动物活体成像系统在鱼疫苗研发中的应用

更多资讯

我的询价